
Tarsal tunnel syndrome is a condition caused by compression of the posterior tibial nerve as it travels through the tarsal tunnel near the ankle. This nerve irritation can lead to pain, burning, tingling, or numbness in the toes, sole, or heel. Symptoms may worsen with standing or walking and improve with rest. Common causes include flat feet, swelling, varicose veins, cysts, or injury. Diagnosis is based on a clinical exam and may be supported by imaging such as ultrasound or MRI scans to identify nerve compression. A podiatrist can evaluate symptoms, determine the underlying cause, and develop a treatment plan that may include footwear changes, orthotics, or other interventions. If you have persistent foot pain or numbness, it is suggested you schedule a visit with a podiatrist for expert care and a personalized treatment plan.
Tarsal tunnel syndrome can be very uncomfortable to live with. If you are experiencing tarsal tunnel syndrome, contact Edward Fryman, DPM, FACFAOM of Seaford Foot Care Center. Our doctor can provide the care you need to keep you pain-free and on your feet.
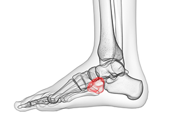
Tarsal Tunnel Syndrome
Tarsal tunnel syndrome, which can also be called tibial nerve dysfunction, is an uncommon condition of misfiring peripheral nerves in the foot. The tibial nerve is the peripheral nerve in the leg responsible for sensation and movement of the foot and calf muscles. In tarsal tunnel syndrome, the tibial nerve is damaged, causing problems with movement and feeling in the foot of the affected leg.
Common Cause of Tarsal Tunnel Syndrome
- Involves pressure or an injury, direct pressure on the tibial nerve for an extended period of time, sometimes caused by other body structures close by or near the knee.
- Diseases that damage nerves, including diabetes, may cause tarsal tunnel syndrome.
- At times, tarsal tunnel syndrome can appear without an obvious cause in some cases.
The Effects of Tarsal Tunnel Syndrome
- Different sensations, an afflicted person may experience pain, tingling, burning or other unusual sensations in the foot of the affected leg.
- The foot muscles, toes and ankle become weaker, and curling your toes or flexing your foot can become difficult.
- If condition worsens, infections and ulcers may develop on the foot that is experiencing the syndrome.
A physical exam of the leg can help identify the presence of tarsal tunnel syndrome. Medical tests, such as a nerve biopsy, are also used to diagnose the condition. Patients may receive physical therapy and prescriptive medication. In extreme cases, some may require surgery.
If you have any questions please contact our office located in Seaford, and Bethpage, NY . We offer the newest diagnostic and treatment technologies for all your foot and ankle needs.



